交通事故のことなら、石川県白山市平加町のひらかまちスポーツ整骨院 はり・きゅう院にお任せください。
ひらかまち スポーツ整骨院 はり・きゅう院
新型コロナウイルスの感染予防対策として
全日完全予約制を実施中
必ずお電話にてご予約ください 電話076-278-5077

当院は、トップアスリートをはじめ小学生から大人まで、部活動やクラブチームに所属している選手、趣味でマラソン、ダンス、バレーボールに夢中な方まで、たくさんのスポーツ愛好家の方が来院されます。スポーツ障害によくみられる、成長痛にみられるオスグット、踵の痛み、股関節痛など、反復性の動作で痛みがでてくる野球肘、肩、ジャンパー膝、アキレス腱損傷、シンスプリントなど、いろんな障害に対して適切な処置と、施術で早い選手として復帰をお約束します。超音波エコー装置があるとので、骨折や筋肉の断裂、靱帯損傷、を観ることができ、安心して復帰までの不安を解消できます。

小学生の高学年から中学生にかけて、激しい運動を続けている子供が、膝のすぐ下の脛骨粗面という骨が出っ張ってきて痛くなります、骨の成長が落ち着くまで、再発することが多く、痛みが強い時は運動を休むことを念頭に、治療しながら軽くスポーツを続けることも可能です。

股関節前側の痛みで多いのは、中学生に多い疾患です。大腿直筋の付け根の痛みで、エコー画像では下前腸骨棘(股関節のすぐ下)が骨が乱れて描写されます。陸上、サッカー、ジャンプの多いスポーツなど、大腿部や股関節の使い過ぎで起こります。運動強度を押さえるなどして、施術を受けるとかなり回復します。

小学生中学年から中学生にかけて成長期の前の段階から、激しいスポーツをしている子供がなりやすい疾患です。足首や股関節の柔軟性が低下している子供たちが多いため、足の指に体重がのらず(浮指)かかとに負担がかかって、軟骨部分が痛くなります。エコー画像で、ギザギザの軟骨が描写されることがあします

笑顔で気さく相談に乗ります
当院では鍼、お灸は女性が行いますので、安心して受けることが出来ます。女性ならではの相談事、男性の施術にはちょっと抵抗がある方、鍼、お灸専用の部屋が個室でありますのでご安心ください。美容針が大変人気でたくさんの女性、一部の男性の方がされています。足つぼケアやボディケア、オイルマッサージなども担当しているのでぜひやってみてください。
はり、お灸の説明ははこちらをクリック


当院では根本治癒をットーに、外傷による筋膜の捻れや関節の歪みをとり、関節の動きの改善し、身体のバランスを整えます。患者さんは施術後に痛みの軽減実感することが出来ます。
当院ではぎっくり腰や捻挫でも患部の安静や固定といった従来の治療法ではなく、患部に直接、手で働きかけ、ケガをする前の体の状態に戻すことで、痛みを早期に改善し、ケガによる慢性化を予防します。
資格を取って23年以上経ち、施術による成果がだんだんと出せるようになってきました。カイロプラクティックなどの整体の技術や整形外科など10年務めた経験、エコーを取り入れての画像による観察技術など、日々勉強し積み重ねてきた結果だと自負しております。理屈より施術結果を大切にやっています。最近では患者さんの心が前向きになるように声掛けや愛をもって接するようになっていければよいと思います。
施術は腰痛であれば、前屈などの検査で詳しくい痛みの部位を検査します。症状で原因がある程度特定出来たら、関連する全身の筋肉や筋膜、関節などを調整し、必要があれば骨格も調整します。痛めている患部と関係のある全身の部位を緩めることで、ほとんどの症状が和らぐことが多く、痛みがあまり緩和しなくても、日常生活での指導(ストレッチ、運動など)をさせていただいています。
以下の臨床動画で問診、施術後の様子をご覧ください。

エコー検査の様子
エコーがあれば、関節の中の様子、骨、靱帯、筋肉、筋膜、血管、など軟組織をその場で簡単に観察できます、骨が折れたかもしれない時、ねん挫をして靱帯の状態を把握したいとき、腫れているときは中はどうなっているのか知りたい時など、大変有用なツールだと感じています、導入して14年以上が立ち、エコーの観察技術もかなり上達したと思っています。エコー画像を観れば筋肉が硬いのか、厄介者である石灰、ガングリオン、水腫があるのかを観察でき、その後の施術に大きな助けとなります。気になったら気軽にエコーで観させていただきます。

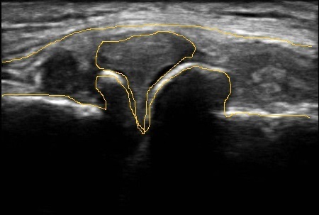
変形性膝関節症の内側の関節です。高齢者で膝が痛い、O脚で曲がっている、膝に水がたまりやすい方、階段がつらい方、正座ができないなど、、関節が太くなって変形しています。膝の軟骨が減って半月板が外に飛び出している画像です。

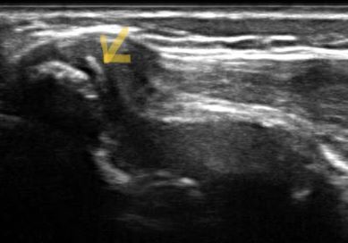
矢印が手首の近くの背中側の骨が少しヒビが入っている不全骨折です。剣道をやっている中学生が、竹刀で打たれて、打撲と思ったら、腫れもあり、骨も折れていたということです。エコーがあればもし、骨が折れても見逃すことがなく、すぐに整形外科に紹介することができます。
完全予約制なので、あらかじめ電話や前回の施術時に予約します。 夜8時までなので、部活をしている高校生や会社勤めの方も通院しやすく、夜は比較的人気の時間帯です。待ち時間もなく、時間枠をしっかりとっているので、時間に追われることなく、しっかり施術させていただいています。時間厳守となっていますので、遅れる場合はあらかじめご連絡をお願いしております。

もし交通事故にあわれたら、後遺症を残さないために、高い技術と経験でお任せください。むち打ちなの症状を将来残さないための施術技術お持ち、保険会社との対応や、当院と提携している弁護士を紹介できますので安心してご相談ください。
| 月 | 火 | 水 | 木 | 金 | 土 | 日 | |
|---|---|---|---|---|---|---|---|
午前 |
○
|
○ |
○
|
○
|
○
|
○
|
×
|
| 午後 | ○ | ○ | ○ | ○ | ○ | 一時から四時まで | × |
月~金
午前 9:00~12:00
午後 3:00~8:00
(鍼灸受付6:30まで
7時終了)
土 午前9時~12時00分
午後1時~4時まで
日曜日・祝祭日
076-278-5077